Bekynčin první ženich

Po počátečních peripetiích, které jsme absolvovali s Bekynčiným háráním jsme včera nakryli nečekaně předpisově, dokonce s plánovaným pejskem - bez pomoci a ukecávání a s notnou dávkou velké psí lásky.
Ti dva byli vyloženě šťastni, že se vidí a mohou být spolu.....
Povedlo se!
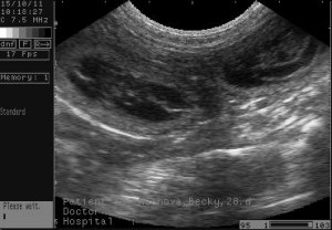
Na ultrazvuku jsou zřetelně vidět dvě štěňátka, třetí je trošku schované, ale s největší pravděpodobností si lebedí v Bekynce také!
Předpokládaný termín narození - 19.11.2011
....a zde je máme (28. den)....

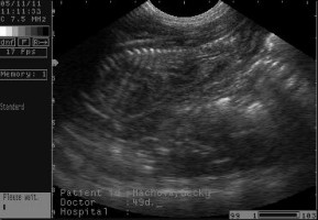
....sono miminek (49.den)....![]()

Becky mamina ![]()


